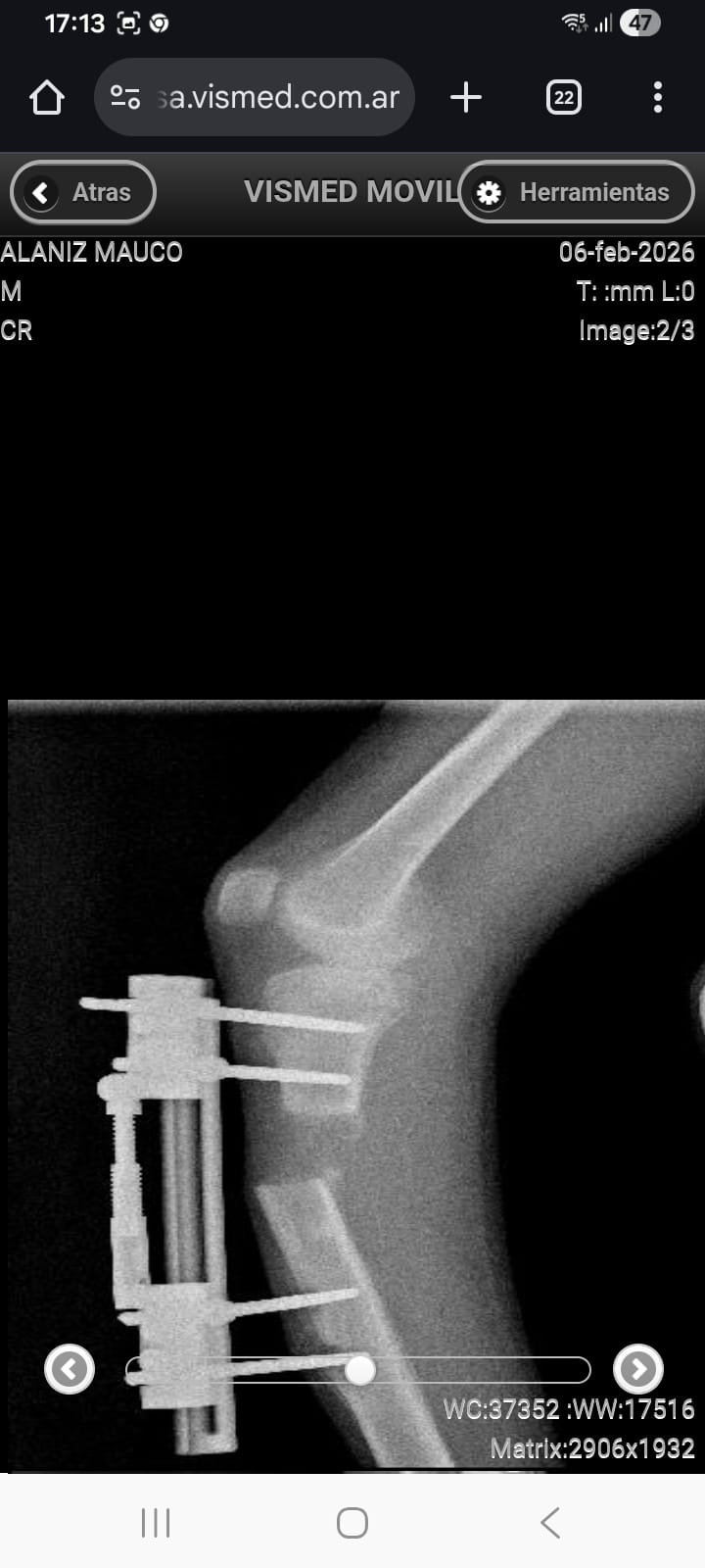
Se trata de Mauco Alaniz quien debe ser intervenido quirúrgicamente y su familia está recaudando dinero.
Un joven de 14 años oriundo del departamento de Santa Rosa, Mauco Alaniz nació con un problema en una de sus piernas, una malformación congénita en donde no se desarrolló su peroné por lo que debe someterse a una cirugía de urgencia para corregir de nuevo su hueso. Con nuestro medio dialogó su padre, Alfredo Alaniz quien dio detalles y explicó lo que están necesitando para esta operación.
El padre del joven explicó cuál es el problema que afronta su hijo: «Mi hijo nació con una malformación congénita, en donde no tiene el peroné y hace que tenga una diferencia de 7 centímetros con su otra pierna. Ya vamos a llevar 13 operaciones con la de este viernes, y hace un mes y medio lo operamos para hacerle un alargamiento de tibia, pero lamentablemente su hueso se corrió de lugar y es por eso que tiene que ser operado de urgencia para ser corregido y seguir con su tratamiento que lleva más de un año».
Por otro lado, Alfredo manifestó que todas las operaciones de su hijo son ambulatorias, por lo que se encuentra con internación domiciliaria y la intervención quirúrgica se realizará en el Centro Médico Tótem de San Martín. Además, añadió: «Tenemos que pagar quirófano porque su médico no tiene uno propio y también sus ayudantes».
Acerca de si cuenta con una obra social, Alfredo Alaniz declaró que cuenta con Osep, además de tener certificado de discapacidad y que la operación que costaba 12 millones de pesos, solamente tienen que abonar $600.000. Sobre esto, el padre del joven dijo: «La colecta es para poder pagar anestesiólogo y alquiler de quirófano».
En relación a la colecta, el padre de Mauco dijo: «Yo soy empleado municipal y lamentablemente hemos tenido tiempo para juntar la plata y pagar los estudios, pero hoy en día, que fue de una semana a otra, no contamos con el dinero. No llego ni con mi sueldo ni pidiendo prestado, se me es imposible juntar ese dinero en el plazo de una semana». La familia está compuesta por cinco integrantes: Alfredo y Belén que son los padres y sus tres hijos, Mauco, Dafne y Briana.
Para todos aquellos que quieran colaborar, lo pueden hacer al alias de Mercado Pago Alfredo.omar.alaniz a nombre de Alfredo Alaniz o al alias Anyi.nano, que está bajo el nombre de Jessica Belén Ponce.






